【患者様向け】

チョコがしみるのは虫歯?神戸市北区のきずな歯科が解説

「チョコがしみる」「冷たい飲み物で痛む」そんな小さな違和感も、歯のSOSサインです。 放置すると虫歯や神経の炎症につながり、痛みが悪化する可能性があります。 神戸市北区のきずな歯科が、知覚過敏との違いや正しいケア方法まで丁寧に解説!
【歯周病治療】

歯茎にできたニキビは潰さないで!膿や腫れの原因と正しい対処法

歯茎にできた白いおでき、ニキビのような膨らみ…つぶすのはNGです!膿が出る原因や根の病気との関係、正しい対処法を歯科医が徹底解説。放置のリスクや治療の流れ、相談しやすい歯医者の選び方まで網羅。小さな違和感も見逃さず、安心して受診を。
【患者様向け】

乳歯の虫歯は放置NG?将来の永久歯に及ぼす悪影響と対策

「乳歯はそのうち抜けるから虫歯でも大丈夫…」と思っていませんか?実は、乳歯の虫歯を放置すると、永久歯の歯並びや健康に悪影響を与えることがあります。この記事では、乳歯の虫歯が引き起こすリスクと、親が今できる対策をわかりやすく解説。
【患者様向け】

知らずにやってる“歯に悪い習慣”|今日から見直したいクセ

「歯がしみる」「詰め物が取れる」…そんなお悩み、実は“無意識のクセ”が原因かもしれません。歯ぎしり・頬杖・口呼吸など、見過ごしがちな習慣が歯を壊していることも。この記事では、歯に悪いクセとその影響、改善法や治療例をわかりやすく解説。
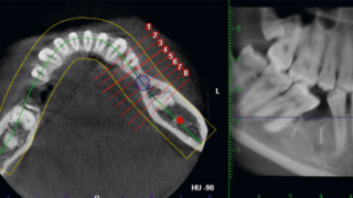
【患者様向け】

3次元CT検査とは?見えない部分まで把握する歯科の精密検査

きずな歯科では、3次元CT検査によって口腔内を立体的に撮影。顎の骨や歯の状態を正確に把握し、見えない病巣も早期発見。短時間で負担も少なく、安心の検査です。
【患者様向け】

神戸市北区八多町のマウスピース矯正(インビザライン)の特徴

神戸市北区八多町にお住まいの方必見!きずな歯科クリニックできれいな歯並びを目指したい方へ。目立たないマウスピース矯正「インビザライン」の特徴や費用、通いやすさのポイントを解説し、不安を解消して安心の治療選びをサポートします。
【患者様向け】

歯をキレイに見せるセラミック|神戸市北区のインプラント治療

神戸市北区で前歯を自然に美しく治すセラミックインプラント治療を詳しく解説。素材の違い、医院選びのポイントまで紹介し、安心して治療を検討できます。「前歯の見た目が気になって、人前で思い切り笑えない…」そんなお悩みを解決します。
【口腔ドック】

腸内細菌検査で体質を可視化|腸活で健康リスクに備える新習慣

腸内細菌検査で、あなたの体質・腸内環境を見える化。痩せ菌や老化菌、免疫・美容・ストレス耐性まで45項目以上を解析。きずな歯科で簡単・正確なチェックが可能です。話題の「腸活」で根本的な原因を身近な歯科医院で知ることができます!
【口腔ドック】

DNA遺伝子解析でわかる、あなたの体質と健康のヒント

きずな歯科では、DNA遺伝子解析によりあなたの体質や健康リスクを分析。痩せやすさ、筋肉タイプ、ストレス耐性など20項目以上を調べ、あなたに合った生活習慣をサポートします。
【口腔ドック】

「口腔ドック」とは?歯科で受ける新しい定期検査のかたち

虫歯や歯周病は自覚しにくく、気づいた時には進行していることも。きずな歯科の「口腔ドック」は、虫歯・歯周病・噛み合わせなどを総合的に検査する新しい定期健診です。年1回のチェックで小さな変化を早期発見し、一生自分の歯で食べられる未来をサポート。